Featured image of post MRI ΚΝΣ εμβρύου

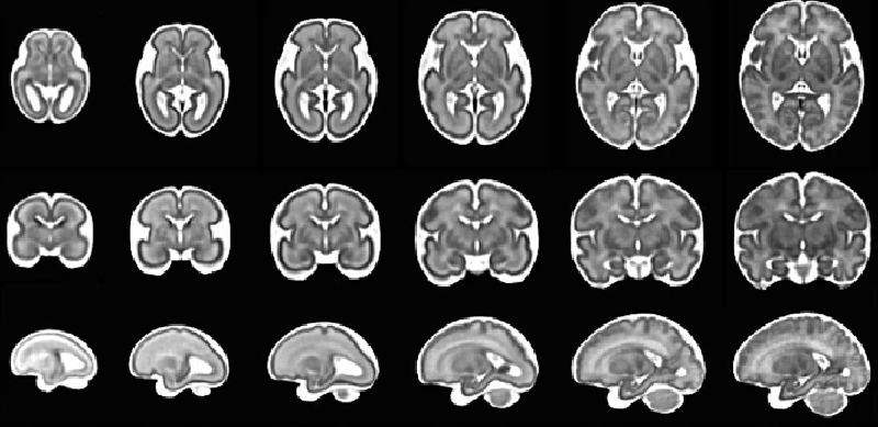
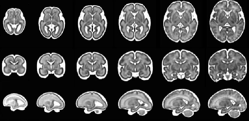
MRI ΚΝΣ εμβρύου

Μαγνητική τομογραφία ΚΝΣ εμβρύου

Featured image of post Όροι χρήσης

Όροι χρήσης

Όροι και προϋποθέσεις χρήσης του ιστότοπου