Avatar

ΕΜΒΡΥΙΚΗ ΝΕΥΡΟΛΟΓΙΑ / Παναγιώτης Μπεναρδής

Μαιευτήρας-Γυναικολόγος / Ειδικός στην Ιατρική Εμβρύου και στη Γυναικολογική Υπερηχογραφία / Diploma in Fetal Medicine (FMF, London) / IOTA Certificate (IOTA, Leuven) / Διευθυντής - Υπεύθυνος Τμήματος Εμβρυικής Νευρολογίας ΙΑΣΩ Αθήνας

  1. Home
  2. Archives
  3. Search
    1. Σκοτεινό θέμα

English

Απαιτούμενες Εξετάσεις

Επικοινωνία

Ραντεβού

Ενδείξεις

Example Category

2025

Καλώς ήρθατε!

25/06/2025
Καλώς ήρθατε!

English

04/04/2025
English

Συνεργασίες

31/03/2025
Συνεργασίες

Εμβρυική νευρολογία

30/03/2025
Εμβρυική νευρολογία

Γενετική

30/03/2025
Γενετική

3D νευροϋπερηχογράφημα

30/03/2025
3D νευροϋπερηχογράφημα

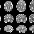
MRI ΚΝΣ εμβρύου

30/03/2025
MRI ΚΝΣ εμβρύου

Εμβρυικό νευροϋπερηχογράφημα

28/03/2025
Εμβρυικό νευροϋπερηχογράφημα

Ραντεβού

28/03/2025
Ραντεβού

Ενδείξεις

28/03/2025
Ενδείξεις

Όροι χρήσης

28/03/2025
Όροι χρήσης

Σύνδεσμοι

28/03/2025
Σύνδεσμοι
© 2025 - 2026 ΕΜΒΡΥΙΚΗ ΝΕΥΡΟΛΟΓΙΑ / Παναγιώτης Μπεναρδής
Δημιουργήθηκε με τη χρήση Hugo
Το θέμα Stack σχεδιάστηκε από το Jimmy